FastBlock Antibody Dilution Buffer(Protein-free)
更新:2025/10/31 10:42:43
| 中文名: | FastBlock Antibody Dilution Buffer(Protein-free) | 说明书下载 | 暂无 | 
| 英文名: | 通用抗体稀释液(无蛋白) | ||
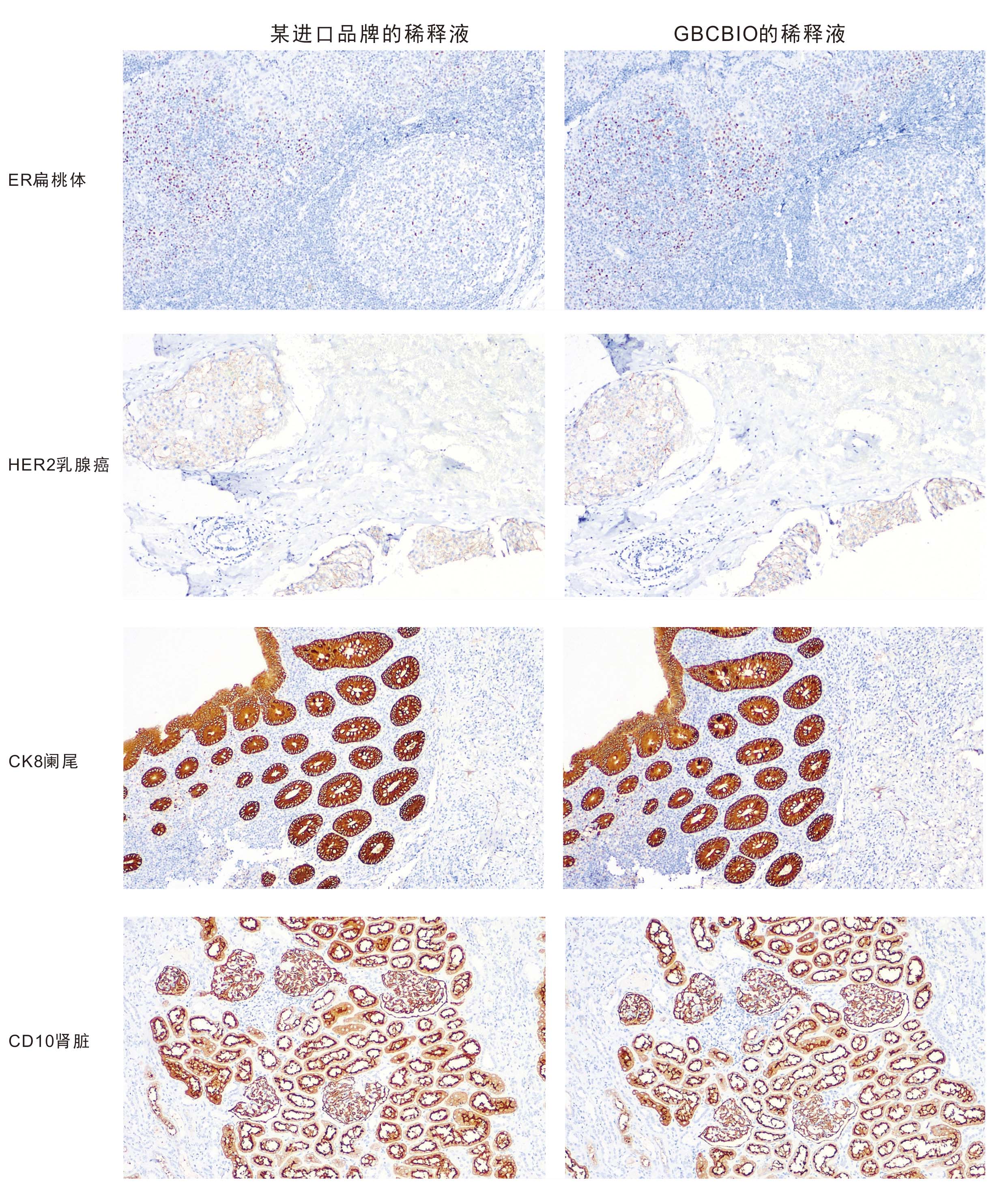
| 描述: | FastBlockTM Antibody Dilution Buffer是一种用高分子试剂替代传统稀释液中的BSA、血清等新的抗体稀释液。可以用于免疫荧光(Immunofluorescence, IF)、免疫组化(Immunohistochemistry, IHC)和免疫细胞化学(Immunocytochemistry, IC)等免疫染色时一抗的稀释和配制。本封闭液不含血清和白蛋白,确保极高的信噪比。添加了不影响HRP和AP活性的防腐剂等物质,不会干扰HRP或AP标记二抗的检测。同时本产品不含生物素,也不会干扰基于生物素的检测。可以用于一抗与二抗的稀释。 | ||
| 货号 | 规格 | 价格 | 品牌 | 
| G7255-100ml | 100ml | 108 | GBCBIO | 
| G7255-500ml | 500ml | 485 | GBCBIO | 
| 产品简介 FastBlockTM Antibody Dilution Buffer是一种用高分子试剂替代传统稀释液中的BSA、血清等新的抗体稀释液。可以用于Westernblot、免疫荧光(Immunofluorescence, IF)、免疫组化(Immunohistochemistry, IHC)和免疫细胞化学(Immunocytochemistry, IC)等免疫染色时一抗的稀释和配制。本封闭液不含血清和白蛋白,确保极高的信噪比。添加了不影响HRP和AP活性的防腐剂等物质,不会干扰HRP或AP标记二抗的检测。同时本产品不含生物素,也不会干扰基于生物素的检测。可以用于一抗与二抗的稀释。 特点: •无蛋白质封——最大限度地减少或消除与基于蛋白质的封闭缓冲液相关的交叉反应 •应用——Western blot、免疫荧光、免疫组化等一抗与二抗的稀释 •兼容性好——不含生物素、联袂亲和素与磷酸根离子;不会干扰HRP或AP标记二抗的检测;不干扰亲和素-生物素检测系统 •高性能——本稀释液不含血清和白蛋白,确保极高的信噪比 储存和稳定性 室温运输,2-8℃保存一年有效。 
	使用说明: 实验步骤: 参考所用二抗的说明,以及样品中目的蛋白的含量,按照适当比例例如1:1000、1:500等稀释抗体。抗体稀释后即可直接用于免疫组化染色。一次免疫组化染色结束后,可以回收稀释的抗体,4℃保存,以用于下次的免疫染色。 
	实验结果 | 




